Çıkmış Sorular
1) 21 yaşında ilk gebeliği olan normotansif kadın hastanın , doğum öncesi kontrollerinde anemik olduğu tespit edildi. Laboratuvar sonuçlarında; Hemoglobin 7,6 g/dL, lökosit 8,7 x109 /L, trombosit 45 x 109 /L, PT ve APTT normal, D-dimer 0,6 mg/L, serum kreatinin1.4 mg/L, serum alanin aminotransferaz 34 U/ L ve total bilirubin 5,6 mg/L. idi. Periferik yaymada çok sayıda şistosit ve hemoliz bulgusu izlendi ADAMTS13’e karşı antikorlar saptanmadı ancak ADAMTS13 enzim aktivitesi oldukça düşüktü. Bu hastada en olası tanı aşağıdakilerden hangisidir?
A) Upshaw-Schulman sendromu
B) Atipik Hemolitik Üremik Sendrom (aHÜS)
C) Otoimmün Trombotik Trombositopenik Purpura (TTP)
D) Yaygın damariçi pıhtılaşma (DIC)
E) HELLP sendromu
2) Aşağıdakilerden hangisi kantitatif globulin sentez
bozukluğudur?
A) Hemoglobin H
B) Hemoglobin C
C) Hemoglobin D
D) Hemoglobin E
E) Hemoglobin S
3) Ağır aplastik anemi ile ilgili olarak aşağıdaki ifadelerden hangisi yanlıştır?
A) İmmunsüpresif tedavi sonrasında relaps gelişen hastalarda yeniden immünsüpresif tedavi vermenin tedavide yeri yoktur
B) Eltrombopag bu hastalarda tek başına ya da immünsüpresif tedavilere ek olarak kullanılabilir
C) Bu hastalarda kemik iliği nakli için tercih edilmesi gereken kök hücre kaynağı kemik iliğidir
D) Uyumlu kardeş vericiden yapılan kök hücre nakli çocuklarda ve genç erişkinlerde tercih edilmesi gereken tedavidir
E) Anti-timosit globulin (ATG) ve siklosporin tedavisine yanıt veren hastaların üçte birinde relaps gelişebilir
4) Paroksismal Noktürnal Hemoglobinuri (PNH) ile ilgili aşağıdaki ifadelerden hangisi yanlıştır?
A) Tüm hastalara tromboz profilaksisi önerilmelidir.
B) Ölümün en sık sebebi trombozdur.
C) Trombozlar hem arteryel hem venöz olabilir.
D) Tromboz riski PNH klonu %50 ve üzerinde olanlarda en fazladır.
E) Kompleman inhibisyonu trombozu durdurmanın en etkili yoludur.

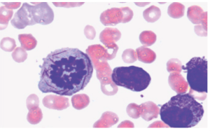
5) 69 yaşında erkek hasta nötropeni ve anemi nedeni ile yönlendiriliyor. WBC:1000/µL (%10’u PNL), Hb: 10.6 g/dL olan hastanın periferik yayması aşağıdaki gibi olup, bu hastada hangi tanıyı öncelikli olarak düşünürsünüz?
A) Akut promyelositik lösemi
B) Akut myelomonositik lösemi
C) Akut monoblastik lösemi
D) Akut lenfoblastik lösemi
E) Kronik myelositik lösemi
6) Myelodisplastik sendromda en sık görülen epigenetic mutasyon aşağıdakilerden hangisidir?
A) TET2 mutasyonu
B) JAK2 V617F mutasyonu
C) DNMT3A mutasyonu
D) RUNX1 mutasyonu
E) ASXL1 mutasyonu
7) 22 yaş, kız hasta, ateş, kilo kaybı, gece terlemesi, boyunda şişlik ve nefes darlığı yakınmaları ile başvurdu. Radyolojik incelemede boyun ve mediastende multipl lenfadenopati ve bilateral plevral efüzyon saptandı. Plevral efüzyon örneklemesi serohemorajik ve eksuda olarak saptandı. Bu hastada tanısal prosedür olarak aşağıdakilerden hangisi yapılmalıdır?
A) Lenf nodu biopsisi
B) Kemik iliği biyopsisi
C) Bronkoskopi
D) Plevral biyopsisi
E) PET-BT
8) Aşağıdakilerden hangisi bortezomibe ait yan etkilerden biri değildir?
A) Tromboemboli riskinde artış
B) Periferik nöropati
C) Trombositopeni
D) Herpes zoster enfeksiyonu
E) Gastrointestinal semptomlar
9) Çift kör randomize kontrollü denemelerde, uygulanan tedaviye ilişkin bilgiler hangi tarafların bilgisi dışında tutulur?
A) Araştırmacılar ve denekler
B) Araştırmacılar ve istatistikçiler
C) Denekler ve sponsorlar
D) Araştırmacılar, denekler ve istatistikçiler
E) Araştırmacılar, denekler, istatistikçiler ve sponsorlar
10) Aşağıdakilerden hangisi “kötü haber verme sürecinde” en sık yapılan hatalardan biridir?
A) “Moralini iyi tutarsan daha iyi olursun” diyerek moral vermeye çalışmak
B) Hastanın beden dilini gözlemek, kaygıları önemsemek, hastaya istediği kadar bilgi ve detay vermek
C) Hastaya karşı olabildiğince açık olmak ve anlayacağı
bir dil kullanmak
D) Hastanın neyi ne kadar bilmek istediği belirlemek
E) Hastayla terapötik ve empatik bir ilişki kurmak